找回密码
 立即注册
查看: 1070|回复: 0

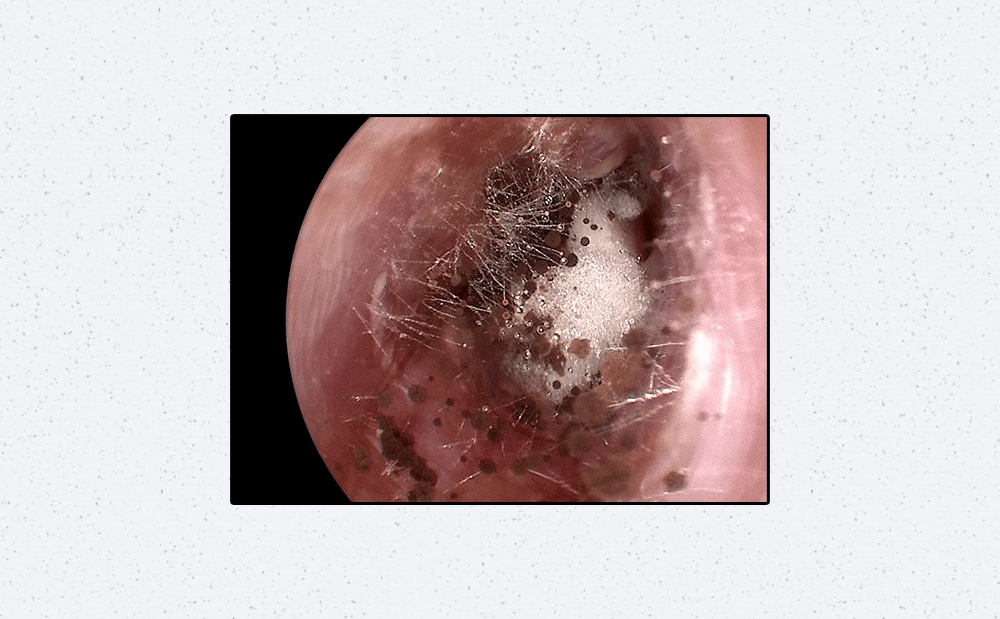
为什么耳朵里没有耳屎,却还感觉痒痒的?

[复制链接]
阅读字号:
        

升级   100%

404

主题

31

回帖

1722

积分

管理员

积分
1722
发表于 2025-1-4 09:38:34 | 显示全部楼层 |阅读模式 来自 江苏泰州
9417636bfa3eb0ab212483c22d82c9cf.jpeg 450a9540e284ae8a89aa8987b40b20e6.jpeg a05c9dc9dc412866e6f9d206af900ffb.jpeg e9404d6b7f571737eb0141ee6f53d5c2.jpeg d589cd2d3dd9852d6e8597002bd30e79.jpeg c63153bdef491b13519fe7d3e9e5728e.jpeg
c5eb742d210379b4e2364ed0c100c4a1.jpeg 61c6e04a496cc2f8c5c1aefcd202e77c.png
c9c6e6927b894b752a373ce87f972156.jpeg 0f4d0c73150a75fdaefd18c596101690.jpeg fd632883b0e20d36c0591088004444f9.jpeg
345460895ca49ac746afc67419562fc1.jpeg 9f6d8bb0d245bcf832fc9f9b4259ed23.png d45379319b25a00b24981e1c8e85c011.jpeg cc593dff443d464cb5e1db1caca22d1c.jpeg dc951823063e94fdb49863d5178233b2.png
a1d51238f569edf2fbf69994723f5c85.jpeg
f19fe29c75bb2b80c1ee59bd5ca4042d.jpeg




8c1fa6e101cbb6ace7d0ebb72d245fbd.png





-End-



本期封面:

c5c39e7feed36304c7c9170912ac379e.jpeg
来源:“好奇博士”公众号


回复

使用道具 举报

您需要登录后才可以回帖 登录 | 立即注册

本版积分规则

QQ|Archiver|手机版|小黑屋|苏州通论坛

GMT+8, 2026-3-16 00:59 , Processed in 6.761929 second(s), 39 queries .

Powered by Discuz! X3.5

© 2001-2025 Discuz! Team.

快速回复 返回顶部 返回列表